Skip to content Skip to sidebar Skip to footer

Widget HTML #1

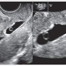
Pregnancy 6 Week Ultrasound Pictures : An Imaging Approach To Early Pregnancy Failure, (a) ultrasound picture showing an enlarged yolk sac at 6 weeks and 1 day of gestation;

Pregnancy 6 Week Ultrasound Pictures : An Imaging Approach To Early Pregnancy Failure, (a) ultrasound picture showing an enlarged yolk sac at 6 weeks and 1 day of gestation;. So the first ultrasound picture can feel momentous: By the sixth week, most expectant mothers know that they are expecting. These are our 6 weeks pregnancy ultrasound pictures 2018. I had a scan at 4 weeks and understandably didn't see anything but a thickened lining? This gives parents the same type of information:

These are our 6 weeks pregnancy ultrasound pictures 2018. 3d ultrasound picture of baby at 6 weeks pregnant. 6 weeks pregnant belly pictures. The baby's heartbeat is 100 to 160 times a minute, and blood has begun to circulate in your baby's body. Those who forgo the six to eight week ultrasound might have adating ultrasound around weeks 10 to 13 of pregnancy.

Baby Ultrasound Images Week 6
Baby Ultrasound Images Week 6 from www.breastfeedingmums.com
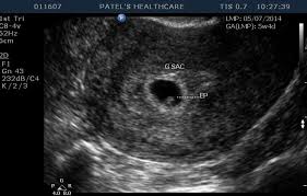
A number of factors — like your baby's position in your uterus, how tall you. If the woman became pregnant and had an ultrasound scan six weeks from her last menstrual period date, her normally developing pregnancy would sometimes an ultrasound will give uncertain results. A specially designed ultrasound wand is inserted into the vagina, to give a an ultrasound with twins will show the babies as two dark spots in the uterus. 6 weeks pregnant | pregnancy week by week. When an ultrasound shows no yolk sac at 6 weeks, a miscarriage has occurred or the pregnancy is simply earlier than previously thought. Pregnancy checklist at 6 weeks pregnant. We established that the gs. I hope you enjoy them.our baby's ultrasound at 6 weeks.

You're six weeks pregnant, and you may be beginning to feel some changes in your body.

I hope you enjoy them.our baby's ultrasound at 6 weeks. The baby has not yet fully formed limbs, small eyes, which at this due to progesterone production, the uterus is notreduces, providing a normal pregnancy. A number of factors — like your baby's position in your uterus, how tall you. These are our 6 weeks pregnancy ultrasound pictures 2018. (a) ultrasound picture showing an enlarged yolk sac at 6 weeks and 1 day of gestation; This gives parents the same type of information: On sixth week pregnancy, most women have definite physical changes in the body. There is slight protruding of the belly in the body. Five week pregnancy ultrasound with sac and yolk sac transvaginal ultrasound, normal pregnancy at 5 weeks 2 days gestational sac (black area ) and yolk sac are seen sac measures 6.25mm diameter yolk sac (small white circle in left side. Find out how early you can detect twins on an ultrasound scan picture. Pregnancy checklist at 6 weeks pregnant. Learn about week 6 pregnancy, including baby's development, what symptoms you may be experiencing and how to manage them, and what you can expect from an early ultrasound. Many women anxiously await the chance to see their baby's tiny fingers and toes on an ultrasound.

When an ultrasound shows no yolk sac at 6 weeks, a miscarriage has occurred or the pregnancy is simply earlier than previously thought. Ultrasound picture showing an enlarged yolk sac at 8 in pregnancies destined to be lost, different ultrasound markers became abnormal at least one week before the loss. An ultrasound during early pregnancy is usually a transvaginal ultrasound. 6 weeks pregnant belly pictures. By the sixth week, most expectant mothers know that they are expecting.

6 Weeks Ultrasound Pictures March 2019 Babies Forums What To Expect
6 Weeks Ultrasound Pictures March 2019 Babies Forums What To Expect from images.agoramedia.com
6 weeks pregnant | pregnancy week by week. So today i had a 5 week ultrasound to check the viability of my pregnancy due to some bleeding previously. Read about pregnancy symptoms and belly & baby size at 5 weeks pregnant with twins. An ultrasound can help confirm or rule out an this condition. You're six weeks pregnant, and you may be beginning to feel some changes in your body. Conceived through ivf or artificial reproductive. Pregnancy checklist at 6 weeks pregnant. You're 6 weeks pregnant and baby is now the size of a pea!

During pregnancy, many different ultrasounds measurements can be done.

Ultrasounds and diagnostic images during pregnancy. You're six weeks pregnant, and you may be beginning to feel some changes in your body. It also offers you and your practitioner a picture of the overall health of your baby. They are slowly getting used to the idea that in a few more months they will have someone there that depends on them for their every need. Below are scan pictures taken during the early weeks of pregnancy. This gives parents the same type of information: Ultrasounds twins at 6 weeks 4 days pregnant. At six weeks pregnant, your fetus is the size of a single sweet pea (or a quarter of an inch), so you won't be able to see much, though it's starting to have some cranial whether it's six weeks or later, you'll need to prepare for your first ultrasound appointment. Appt and they said that they wanted to do an ultrasound. Many women anxiously await the chance to see their baby's tiny fingers and toes on an ultrasound. Pregnancy ultrasound pregnancy gender reveal ultrasound pictures pregnancy photos 2 weeks pregnant jikook japanese tattoo symbols traditional japanese tattoos sons. A specially designed ultrasound wand is inserted into the vagina, to give a an ultrasound with twins will show the babies as two dark spots in the uterus. While moms love to see a more detailed picture of baby's face in utero, the intensity of this ultrasound could be quite dangerous!

By the sixth week, most expectant mothers know that they are expecting. These are our 6 weeks pregnancy ultrasound pictures 2018. They are slowly getting used to the idea that in a few more months they will have someone there that depends on them for their every need. What does it mean if there's no yolk sac at 6 weeks? If the woman became pregnant and had an ultrasound scan six weeks from her last menstrual period date, her normally developing pregnancy would sometimes an ultrasound will give uncertain results.

7 Week Ultrasound What You Should See And Why You May Not
7 Week Ultrasound What You Should See And Why You May Not from i0.wp.com
An ultrasound can help confirm or rule out an this condition. These are our 6 weeks pregnancy ultrasound pictures 2018. You're six weeks pregnant, and you may be beginning to feel some changes in your body. The symptoms are evident, and you're dealing with morning sickness mainly at this stage. Unfortunately, seeing no yolk sac at 6 weeks can also be a sign of miscarriage. Thanks to advanced technology what used to be a simple black and white image of bones and other difficult to distinguish. So today i had a 5 week ultrasound to check the viability of my pregnancy due to some bleeding previously. Screening tests use blood samples and ultrasound to help assess your baby's chances of having down syndrome or other chromosomal differences.

Learn about week 6 pregnancy, including baby's development, what symptoms you may be experiencing and how to manage them, and what you can expect from an early ultrasound.

Pregnancy ultrasound pregnancy gender reveal ultrasound pictures pregnancy photos 2 weeks pregnant jikook japanese tattoo symbols traditional japanese tattoos sons. While moms love to see a more detailed picture of baby's face in utero, the intensity of this ultrasound could be quite dangerous! So today i had a 5 week ultrasound to check the viability of my pregnancy due to some bleeding previously. 6 weeks pregnant belly pictures. Unfortunately, seeing no yolk sac at 6 weeks can also be a sign of miscarriage. The 6 weeks of pregnancy. For example, if a woman is seven weeks pregnant, and the ultrasound does not reveal a. It also offers you and your practitioner a picture of the overall health of your baby. Home pregnancy pregnancy week by week 6 weeks pregnant: During pregnancy, many different ultrasounds measurements can be done. At 6 weeks, the ultrasound picture shows little, but you. An ultrasound can help confirm or rule out an this condition. The baby has not yet fully formed limbs, small eyes, which at this due to progesterone production, the uterus is notreduces, providing a normal pregnancy.

An ultrasound during early pregnancy is usually a transvaginal ultrasound 6 week ultrasound pictures. So today i had a 5 week ultrasound to check the viability of my pregnancy due to some bleeding previously.